Một nụ cười đẹp luôn bắt đầu từ hàm răng chắc khỏe, đều đặn. Tuy nhiên, trong cuộc sống hằng ngày, không ít người gặp phải tình trạng răng bị mẻ – dù chỉ là một vết nứt nhỏ cũng khiến bạn tự ti khi cười, thậm chí ảnh hưởng đến khả năng ăn nhai. Vậy răng bị mẻ do đâu, có nguy hiểm không và điều trị thế nào? Hãy cùng Nha khoa Dunmec tìm hiểu chi tiết trong bài viết này.
1. Răng bị mẻ là gì?
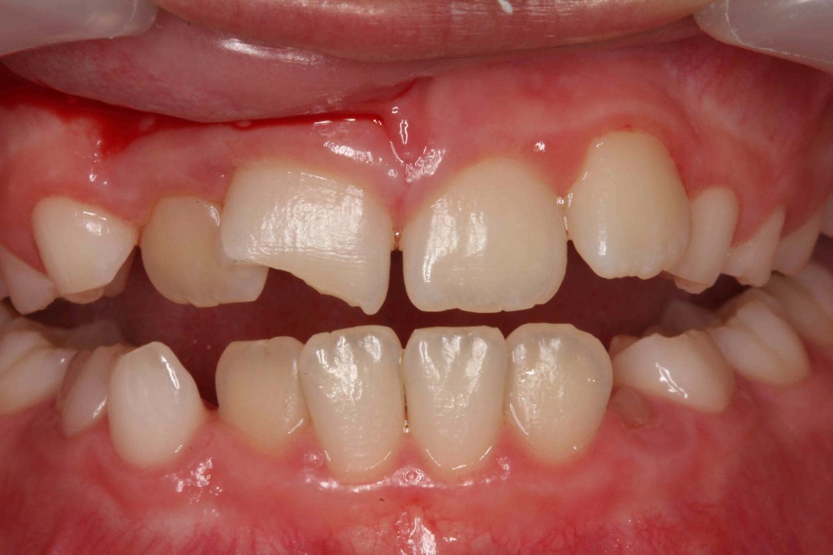
Răng bị mẻ là tình trạng một phần men răng hoặc ngà răng bị vỡ ra, thường xảy ra ở răng cửa hoặc răng hàm – những vị trí chịu tác động trực tiếp khi ăn nhai hoặc va chạm. Vết mẻ có thể nhỏ, chỉ ảnh hưởng đến thẩm mỹ, nhưng cũng có trường hợp mẻ lớn, lộ tủy gây ê buốt và đau nhức.

Hình 1: Răng bị mẻ là gì?
2. Nguyên nhân thường gặp khiến răng bị mẻ
Theo các bác sĩ tại Nha khoa Dunmec, răng mẻ có thể bắt nguồn từ nhiều nguyên nhân:
-
Tai nạn, va chạm: Té ngã, chơi thể thao, hoặc va chạm trong sinh hoạt hằng ngày.
-
Thói quen xấu: Nghiến răng, cắn vật cứng như đá, hạt, nắp chai.
-
Sau điều trị nha khoa: Răng yếu đi sau khi lấy tủy hoặc trám răng, dễ bị mẻ khi có lực tác động.
-
Sâu răng, men răng yếu: Khi cấu trúc răng suy giảm, chỉ cần tác động nhỏ cũng dễ gây mẻ.
-
Ăn uống không hợp lý: Thường xuyên dùng đồ quá cứng, quá nóng hoặc quá lạnh.
3. Răng bị mẻ có nguy hiểm không?
Nhiều người nghĩ răng bị mẻ chỉ ảnh hưởng thẩm mỹ, nhưng thực tế hậu quả có thể nghiêm trọng hơn:
-
Gây ê buốt, đau nhức khi ăn nhai do ngà răng và tủy răng nhạy cảm.
-
Tăng nguy cơ sâu răng vì vi khuẩn dễ xâm nhập qua vết nứt.
-
Ảnh hưởng đến phát âm và thẩm mỹ, đặc biệt khi răng cửa bị mẻ.
-
Có thể mất răng nếu mẻ lớn mà không điều trị kịp thời.

Hình 2: Răng bị mẻ có nguy hiểm không
4. Cách xử lý tạm thời khi răng bị mẻ
Nếu chẳng may răng bị mẻ, bạn có thể áp dụng các bước sau trước khi đến nha khoa:
-
Súc miệng bằng nước muối sinh lý để giảm nguy cơ nhiễm khuẩn.
-
Dùng bông gạc cầm máu nếu có chảy máu.
-
Hạn chế ăn nhai bằng răng bị mẻ.
-
Giữ lại mảnh răng (nếu còn) và mang theo khi đến gặp bác sĩ.
Lưu ý: Đây chỉ là cách xử lý tạm thời. Để tránh biến chứng, bạn cần đến nha khoa càng sớm càng tốt.
5. Phương pháp điều trị răng bị mẻ tại Nha khoa Dunmec
Tại Nha khoa Dunmec, tùy vào tình trạng mẻ răng, bác sĩ sẽ chỉ định phương pháp điều trị phù hợp:
-
Trám răng thẩm mỹ (Composite): Phù hợp với răng mẻ nhỏ. Vật liệu có màu sắc giống răng thật, nhanh chóng và tiết kiệm.
-
Dán sứ Veneer: Áp dụng cho răng cửa mẻ nhẹ, giúp khôi phục hình dáng và màu sắc tự nhiên, bền đẹp lâu dài.
-
Bọc răng sứ: Với răng mẻ lớn hoặc yếu, bọc sứ sẽ giúp bảo vệ toàn diện, tăng độ bền chắc và thẩm mỹ.
-
Điều trị tủy + bọc sứ: Nếu mẻ sâu lộ tủy, bác sĩ sẽ điều trị tủy trước, sau đó phục hình bằng mão sứ.
-
Cấy ghép Implant: Trong trường hợp răng gãy, vỡ hoàn toàn, mất răng, Implant là giải pháp tối ưu để phục hồi răng chắc khỏe như răng thật.
6. Vì sao nên điều trị răng mẻ tại Nha khoa Dunmec?
-
Bác sĩ giàu kinh nghiệm: Đội ngũ chuyên môn cao, nhiều năm thực hành trong lĩnh vực phục hình răng.
-
Công nghệ hiện đại: Trang thiết bị đạt chuẩn quốc tế, hỗ trợ chẩn đoán và điều trị chính xác.
-
Vật liệu cao cấp: Sứ thẩm mỹ, vật liệu trám an toàn, có độ bền cao, màu sắc tự nhiên.
-
Không gian sang trọng – vô trùng tuyệt đối, mang lại trải nghiệm nhẹ nhàng cho khách hàng.
-
Chính sách chăm sóc sau điều trị chu đáo, giúp khách hàng yên tâm lâu dài.

Hình 3: Vì sao nên điều trị răng mẻ tại nha khoa Dunmec
7. Cách phòng ngừa răng bị mẻ
Để hạn chế nguy cơ răng mẻ, bạn nên:
-
Tránh dùng răng cắn vật cứng.
-
Hạn chế đồ ăn quá dai, quá cứng.
-
Khám răng định kỳ 6 tháng/lần tại Nha khoa Dunmec để phát hiện sớm vấn đề răng miệng.
-
Nếu có thói quen nghiến răng, hãy đến nha sĩ để được tư vấn máng chống nghiến.
8. Kết luận
Răng bị mẻ không chỉ ảnh hưởng đến thẩm mỹ mà còn tiềm ẩn nhiều nguy cơ sức khỏe răng miệng. Việc thăm khám và điều trị kịp thời tại Nha khoa Dunmec sẽ giúp bạn khắc phục nhanh chóng, lấy lại nụ cười tự tin cùng hàm răng chắc khỏe.
Nếu bạn đang gặp tình trạng răng mẻ, đừng chần chừ – hãy liên hệ ngay với Nha khoa Dunmec để được bác sĩ thăm khám và đưa ra giải pháp phù hợp nhất.
HỆ THỐNG NHA KHOA QUỐC TẾ DUNMEC DENTAL
📩Website: https://nhakhoadunmecdental.vn/
📩Tiktok: https://www.tiktok.com/@dunmec_hvb
📩Tiktok: https://www.tiktok.com/@dunmec
📩Facebook: https://www.facebook.com/nhakhoadunmecsaigon
📩Facebook: https://www.facebook.com/nhakhoadunmec
-
CS1: 189 Huỳnh Văn Bánh, Q. Phú Nhuận, TP. HCM
-
CS2: 127 – 129 Trần Nhật Duật, TP. Nha Trang
-
CS3: 53 Hồ Tùng Mậu, TP. Vinh, Nghệ An
📞 Hotline: 0588.691.691