Răng bị đen ở mặt trong là tình trạng nhiều người gặp phải nhưng khó nhận biết sớm. Tìm hiểu nguyên nhân phổ biến và các phương pháp điều trị, phòng ngừa hiệu quả giúp bảo vệ nụ cười khỏe đẹp.
Răng bị đen ở mặt trong là tình trạng khá phổ biến nhưng thường bị bỏ qua do khó quan sát bằng mắt thường. Tuy không ảnh hưởng ngay đến thẩm mỹ như mặt ngoài, nhưng đây có thể là dấu hiệu cảnh báo nhiều vấn đề răng miệng nghiêm trọng. Việc phát hiện sớm và xử lý đúng cách sẽ giúp bảo tồn răng thật, tránh các biến chứng không mong muốn.
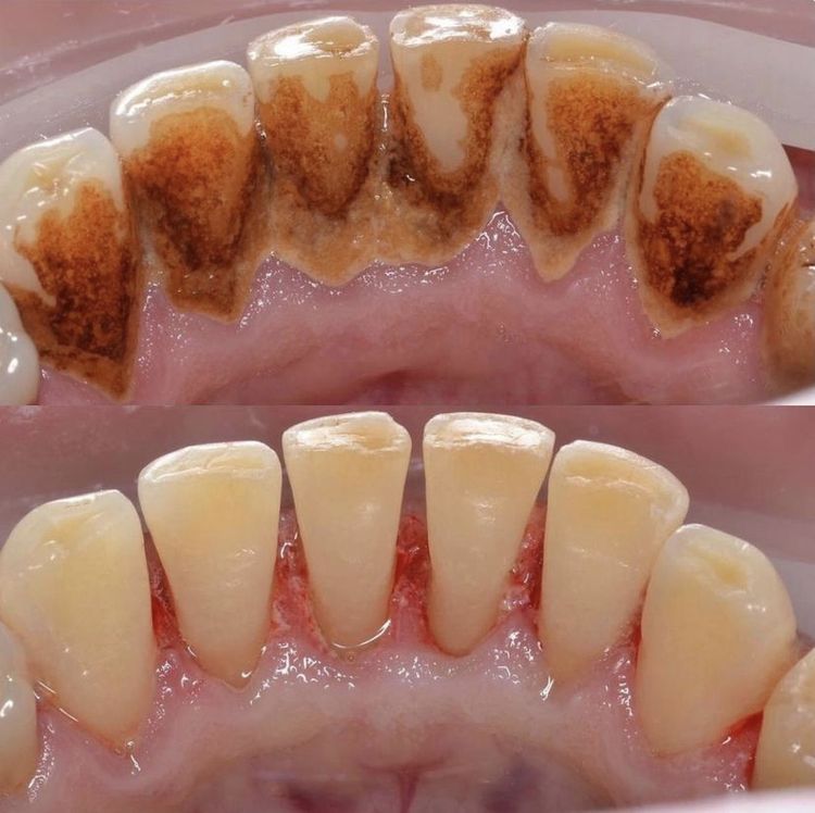
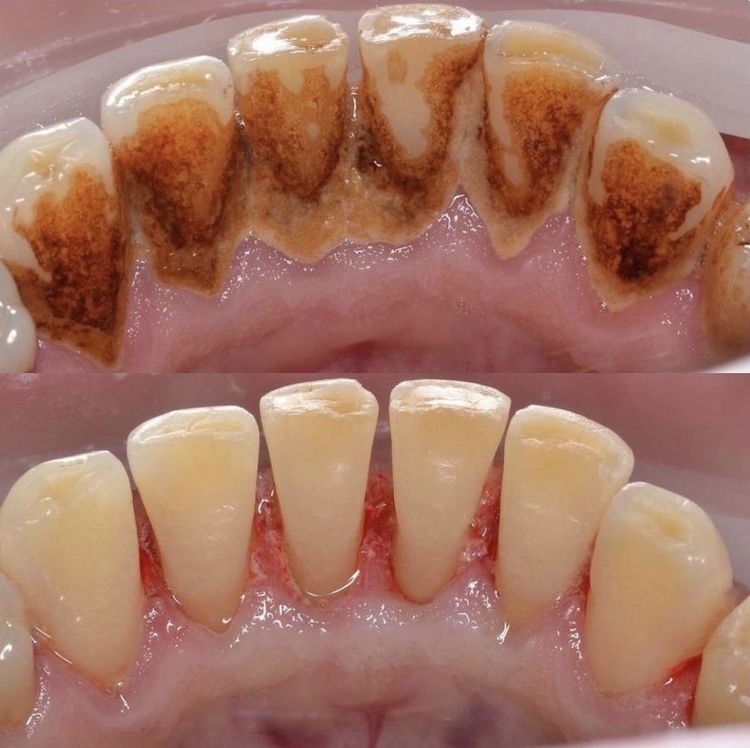
Răng bị đen ở mặt trong là gì?

Hình 1: Răng bị đen ở mặt trong
Răng bị đen ở mặt trong là hiện tượng phần mặt trong của răng xuất hiện các mảng màu sẫm, từ nâu đến đen. Tình trạng này có thể xuất hiện ở một hoặc nhiều răng, thường tập trung ở khu vực gần nướu hoặc kẽ răng.
Do vị trí khó quan sát, nhiều người chỉ phát hiện khi có dấu hiệu đau nhức, ê buốt hoặc khi đi khám nha khoa định kỳ.
Nguyên nhân khiến răng bị đen ở mặt trong
1. Mảng bám và cao răng tích tụ lâu ngày
Đây là nguyên nhân phổ biến nhất. Khi vệ sinh răng miệng không đúng cách, mảng bám thức ăn và vi khuẩn sẽ tích tụ, lâu ngày bị vôi hóa thành cao răng. Cao răng thường có màu vàng sẫm hoặc đen, đặc biệt dễ bám ở mặt trong do ít được làm sạch kỹ.
2. Sâu răng mặt trong
Sâu răng không chỉ xuất hiện ở mặt ngoài mà còn có thể hình thành ở mặt trong của răng. Ban đầu, vết sâu có màu nâu, sau đó chuyển đen khi vi khuẩn phá hủy men răng và ngà răng.
Nếu không điều trị kịp thời, sâu răng có thể lan rộng, gây đau nhức và ảnh hưởng đến tủy răng.
3. Thói quen ăn uống và sinh hoạt
Việc sử dụng thường xuyên các thực phẩm và đồ uống có màu đậm như cà phê, trà, nước ngọt có gas, rượu vang có thể gây ố màu răng. Ngoài ra, hút thuốc lá cũng là nguyên nhân khiến răng bị xỉn màu, đặc biệt ở mặt trong.
4. Vệ sinh răng miệng chưa đúng cách
Nhiều người có thói quen chải răng qua loa, không chú ý đến mặt trong của răng. Điều này tạo điều kiện cho vi khuẩn tích tụ, gây đổi màu răng theo thời gian.
5. Ảnh hưởng từ thuốc hoặc bệnh lý
Một số loại thuốc như kháng sinh nhóm tetracycline hoặc tình trạng nhiễm fluor có thể khiến răng đổi màu. Ngoài ra, các bệnh lý về nướu và men răng yếu cũng làm tăng nguy cơ răng bị đen.
Răng bị đen ở mặt trong có nguy hiểm không?

Hình 2: Răng bị đen ở mặt trong có nguy hiểm
Tùy vào nguyên nhân, mức độ nguy hiểm sẽ khác nhau. Nếu chỉ là cao răng hoặc ố màu nhẹ, tình trạng này không quá nghiêm trọng. Tuy nhiên, nếu nguyên nhân là sâu răng hoặc viêm nhiễm, việc chậm trễ điều trị có thể dẫn đến:
- Viêm tủy răng
- Hôi miệng kéo dài
- Mất răng
- Ảnh hưởng đến sức khỏe toàn thân
Do đó, không nên chủ quan khi phát hiện răng có dấu hiệu đổi màu bất thường.
Cách khắc phục răng bị đen ở mặt trong
1. Lấy cao răng định kỳ
Nếu nguyên nhân là do cao răng, bác sĩ sẽ tiến hành cạo vôi răng để loại bỏ mảng bám cứng đầu. Đây là phương pháp đơn giản, nhanh chóng và mang lại hiệu quả rõ rệt.
Khuyến nghị nên lấy cao răng từ 3–6 tháng/lần để duy trì sức khỏe răng miệng.
2. Điều trị sâu răng
Trong trường hợp sâu răng, tùy theo mức độ, bác sĩ sẽ chỉ định:
- Trám răng nếu sâu nhẹ
- Điều trị tủy nếu sâu đã lan rộng
- Bọc răng sứ nếu răng bị tổn thương nặng
Việc điều trị sớm giúp bảo tồn răng thật và giảm chi phí điều trị.
3. Tẩy trắng răng
Nếu răng bị ố màu do thực phẩm hoặc thói quen sinh hoạt, tẩy trắng răng là giải pháp hiệu quả. Phương pháp này giúp cải thiện màu sắc răng, mang lại nụ cười sáng hơn.
Tuy nhiên, cần thực hiện tại cơ sở nha khoa uy tín để đảm bảo an toàn.
4. Bọc răng sứ thẩm mỹ
Trong trường hợp răng bị đổi màu nặng, không thể cải thiện bằng tẩy trắng, bọc răng sứ là giải pháp tối ưu. Răng sứ giúp che phủ hoàn toàn khuyết điểm, đồng thời cải thiện hình dáng và màu sắc răng.
5. Vệ sinh răng miệng đúng cách
Đây là yếu tố quan trọng giúp ngăn ngừa tình trạng răng bị đen tái phát. Cần:
- Đánh răng ít nhất 2 lần/ngày
- Chải kỹ cả mặt trong và kẽ răng
- Sử dụng chỉ nha khoa hoặc tăm nước
- Súc miệng bằng dung dịch chuyên dụng
Cách phòng ngừa răng bị đen ở mặt trong

Hình 3: Cách phòng ngừa răng bị đen ở mặt trong
Để duy trì hàm răng khỏe mạnh và trắng sáng, cần xây dựng thói quen chăm sóc răng miệng khoa học:
- Hạn chế thực phẩm dễ gây ố màu
- Không hút thuốc lá
- Uống nhiều nước để làm sạch khoang miệng
- Khám răng định kỳ 6 tháng/lần
- Sử dụng bàn chải phù hợp và thay định kỳ
Khi nào nên đi khám nha khoa?
Bạn nên đến nha khoa ngay khi có các dấu hiệu sau:
- Răng xuất hiện đốm đen bất thường
- Cảm giác ê buốt khi ăn uống
- Đau nhức kéo dài
- Hôi miệng không rõ nguyên nhân
Việc thăm khám sớm giúp xác định chính xác nguyên nhân và có hướng điều trị kịp thời.
Kết luận
Răng bị đen ở mặt trong không chỉ là vấn đề thẩm mỹ mà còn có thể là dấu hiệu của các bệnh lý răng miệng tiềm ẩn. Hiểu rõ nguyên nhân và lựa chọn phương pháp điều trị phù hợp sẽ giúp bạn bảo vệ sức khỏe răng miệng một cách hiệu quả.
Đừng đợi đến khi răng đau mới bắt đầu quan tâm. Một nụ cười khỏe mạnh luôn bắt đầu từ việc chăm sóc đúng cách mỗi ngày.
HỆ THỐNG NHA KHOA QUỐC TẾ DUNMEC DENTAL
📩Website: https://nhakhoadunmecdental.vn/
📩Tiktok: https://www.tiktok.com/@dunmec_hvb
📩Tiktok: https://www.tiktok.com/@dunmec
📩Facebook: https://www.facebook.com/nhakhoadunmecsaigon
📩Facebook: https://www.facebook.com/nhakhoadunmec
-
CS1: 189 Huỳnh Văn Bánh, Q. Phú Nhuận, TP. HCM
-
CS2: 127 – 129 Trần Nhật Duật, TP. Nha Trang
CS3: 53 Hồ Tùng Mậu, TP. Vinh, Nghệ An
📞 Hotline: 0588.691.691