Tìm hiểu cười hở lợi là gì, dấu hiệu nhận biết, nguyên nhân và các phương pháp điều trị hiệu quả tại nha khoa giúp cải thiện thẩm mỹ nụ cười.
Nụ cười là yếu tố quan trọng tạo nên sự tự tin trong giao tiếp. Tuy nhiên, không phải ai cũng sở hữu nụ cười cân đối và hài hòa. Một trong những tình trạng ảnh hưởng đến thẩm mỹ khuôn mặt là cười hở lợi. Đây là vấn đề khá phổ biến nhưng hoàn toàn có thể cải thiện nếu được điều trị đúng cách tại nha khoa.
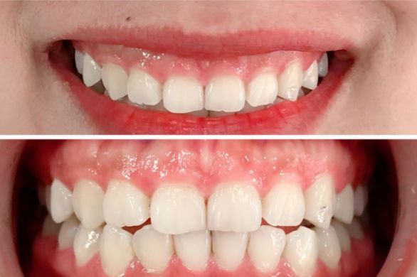
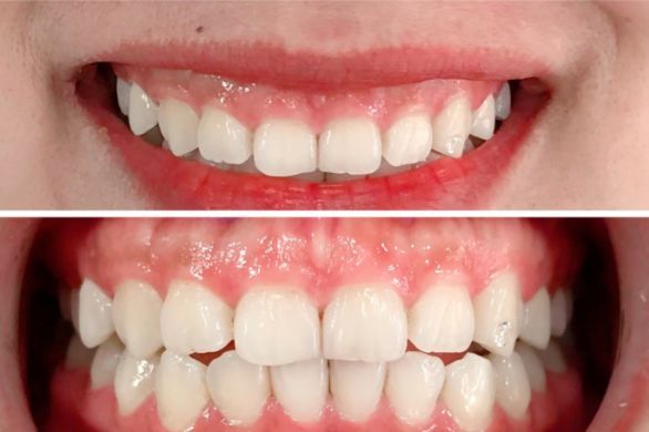
Cười hở lợi là gì?
Cười hở lợi là tình trạng khi cười, phần nướu (lợi) lộ ra quá nhiều so với thân răng, khiến nụ cười mất cân đối. Thông thường, khi cười, phần lợi lộ ra dưới 2 mm được xem là bình thường. Nếu phần lợi lộ trên mức này, đặc biệt từ 3 mm trở lên, có thể được xem là cười hở lợi.
Tình trạng này không ảnh hưởng nghiêm trọng đến sức khỏe nhưng lại tác động lớn đến thẩm mỹ và sự tự tin của người mắc phải.

Hình 1: Cười hở lợi
Dấu hiệu nhận biết cười hở lợi
Bạn có thể nhận biết cười hở lợi thông qua một số dấu hiệu sau:
- Khi cười, phần lợi lộ rõ và chiếm diện tích lớn
- Thân răng có vẻ ngắn hơn bình thường
- Nụ cười thiếu cân đối giữa răng, lợi và môi
- Cảm giác ngại cười hoặc che miệng khi giao tiếp
Những dấu hiệu này có thể xuất hiện ở nhiều mức độ khác nhau, từ nhẹ đến nặng.
Nguyên nhân gây cười hở lợi
Cười hở lợi có thể xuất phát từ nhiều nguyên nhân khác nhau, bao gồm:
Do cấu trúc xương hàm
Một số trường hợp xương hàm trên phát triển quá mức theo chiều dọc khiến phần lợi bị lộ nhiều khi cười. Đây là nguyên nhân phức tạp và thường cần can thiệp chuyên sâu.
Do răng
Răng có kích thước ngắn hoặc bị mòn khiến phần lợi trông lộ ra nhiều hơn. Ngoài ra, răng mọc không đúng vị trí cũng có thể ảnh hưởng đến tỷ lệ giữa răng và lợi.
Do nướu (lợi)
Nướu phát triển quá mức hoặc bao phủ thân răng nhiều hơn bình thường cũng là nguyên nhân phổ biến gây cười hở lợi.
Do môi
Cơ môi trên hoạt động mạnh hoặc môi trên ngắn khiến khi cười, môi nâng cao hơn bình thường, làm lộ nhiều lợi.
Cười hở lợi có cần điều trị không?
Cười hở lợi không phải là bệnh lý nguy hiểm, nhưng nếu ảnh hưởng đến thẩm mỹ và tâm lý, bạn hoàn toàn có thể cân nhắc điều trị.
Việc điều trị không chỉ giúp cải thiện nụ cười mà còn giúp bạn tự tin hơn trong giao tiếp, công việc và cuộc sống hàng ngày.

Hình 2: Điều trị răng hở lợi
Các phương pháp điều trị cười hở lợi tại nha khoa
Tùy vào nguyên nhân và mức độ, bác sĩ sẽ tư vấn phương pháp điều trị phù hợp. Một số phương pháp phổ biến bao gồm:
Cắt lợi thẩm mỹ
Đây là phương pháp đơn giản và phổ biến, áp dụng trong trường hợp lợi phát triển quá mức. Bác sĩ sẽ điều chỉnh lại đường viền nướu để lộ thân răng nhiều hơn, giúp nụ cười cân đối.
Tiêm botox
Đối với trường hợp cơ môi hoạt động mạnh, tiêm botox có thể giúp giảm sự nâng của môi khi cười, từ đó hạn chế lộ lợi. Phương pháp này ít xâm lấn và thực hiện nhanh chóng.
Niềng răng
Nếu cười hở lợi do răng mọc lệch hoặc sai khớp cắn, niềng răng sẽ giúp điều chỉnh vị trí răng, cải thiện tổng thể nụ cười.
Phẫu thuật chỉnh hàm
Trong trường hợp cười hở lợi do cấu trúc xương hàm, bác sĩ có thể chỉ định phẫu thuật chỉnh hàm để đạt hiệu quả tối ưu. Đây là phương pháp phức tạp và cần thực hiện tại cơ sở chuyên sâu.
Quy trình điều trị tại nha khoa
Một quy trình điều trị cười hở lợi thường bao gồm các bước:
- Thăm khám và đánh giá tình trạng
- Xác định nguyên nhân cụ thể
- Lên kế hoạch điều trị phù hợp
- Tiến hành điều trị
- Theo dõi và tái khám
Việc thực hiện đúng quy trình giúp đảm bảo an toàn và mang lại kết quả thẩm mỹ như mong muốn.

Hình 3: Quá trình điều trị tại nha khoa
Lưu ý sau khi điều trị cười hở lợi
Sau khi điều trị, bạn cần chú ý một số vấn đề để duy trì kết quả:
- Vệ sinh răng miệng đúng cách
- Tái khám theo lịch hẹn
- Hạn chế các thói quen xấu ảnh hưởng đến răng miệng
- Tuân thủ hướng dẫn của bác sĩ
Chăm sóc đúng cách sẽ giúp nụ cười duy trì vẻ đẹp lâu dài.
Kết luận
Cười hở lợi là tình trạng phổ biến nhưng hoàn toàn có thể cải thiện nhờ các phương pháp nha khoa hiện đại. Việc xác định đúng nguyên nhân và lựa chọn phương pháp điều trị phù hợp sẽ giúp bạn sở hữu nụ cười hài hòa và tự tin hơn.
Nếu bạn đang gặp tình trạng cười hở lợi, việc thăm khám sớm tại nha khoa là bước quan trọng để được tư vấn và điều trị hiệu quả. Một nụ cười cân đối không chỉ nâng cao thẩm mỹ mà còn góp phần tạo nên sự tự tin trong cuộc sống.
HỆ THỐNG NHA KHOA QUỐC TẾ DUNMEC DENTAL
📩Website: https://nhakhoadunmecdental.vn/
📩Tiktok: https://www.tiktok.com/@dunmec_hvb
📩Tiktok: https://www.tiktok.com/@dunmec
📩Facebook: https://www.facebook.com/nhakhoadunmecsaigon
📩Facebook: https://www.facebook.com/nhakhoadunmec
-
CS1: 189 Huỳnh Văn Bánh, Q. Phú Nhuận, TP. HCM
-
CS2: 127 – 129 Trần Nhật Duật, TP. Nha Trang
-
CS3: 53 Hồ Tùng Mậu, TP. Vinh, Nghệ An
📞 Hotline: 0588.691.691