Bọc răng sứ phù hợp cho răng khấp khểnh, răng nhiễm màu, răng sâu và răng thưa. Tìm hiểu chi tiết từng tình trạng và khi nào nên bọc răng sứ để có nụ cười đẹp, bền lâu.
Bọc răng sứ là một trong những phương pháp phục hình răng thẩm mỹ được nhiều người lựa chọn hiện nay. Không chỉ giúp cải thiện ngoại hình của hàm răng, răng sứ còn góp phần phục hồi chức năng ăn nhai và bảo vệ răng thật trước những tác động từ bên ngoài. Tuy nhiên, không phải ai cũng hiểu rõ mình có phù hợp với phương pháp này hay không.
Trên thực tế, bọc răng sứ thường được chỉ định trong một số tình trạng răng miệng cụ thể. Dưới đây là bốn trường hợp phổ biến nhất mà nha sĩ thường khuyên khách hàng nên cân nhắc bọc răng sứ để cải thiện nụ cười và sức khỏe răng miệng.
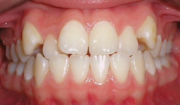
Răng khấp khểnh mức độ nhẹ đến trung bình
Răng khấp khểnh là tình trạng các răng mọc lệch, không thẳng hàng, gây mất thẩm mỹ và ảnh hưởng đến việc vệ sinh răng miệng. Với những trường hợp khấp khểnh nhẹ hoặc trung bình, bọc răng sứ có thể là giải pháp nhanh chóng thay thế cho niềng răng.
Bọc răng sứ giúp điều chỉnh hình dáng và hướng mọc của răng, từ đó tạo nên một hàm răng đều đẹp, cân đối hơn. Phương pháp này đặc biệt phù hợp với những người trưởng thành không có nhiều thời gian cho quá trình chỉnh nha kéo dài.
Tuy nhiên, với những trường hợp răng lệch nặng hoặc sai khớp cắn nghiêm trọng, nha sĩ thường sẽ tư vấn niềng răng trước để đảm bảo chức năng ăn nhai lâu dài trước khi cân nhắc bọc sứ.

Hình 1: Răng khấp khểnh
Răng nhiễm màu, ố vàng nặng
Răng nhiễm màu là một trong những lý do phổ biến khiến nhiều người tìm đến răng sứ thẩm mỹ. Tình trạng này có thể xuất phát từ nhiều nguyên nhân như nhiễm tetracycline, men răng yếu, hút thuốc lá lâu năm hoặc sử dụng thực phẩm sậm màu thường xuyên.
Trong những trường hợp răng bị nhiễm màu nặng, các phương pháp tẩy trắng thông thường thường không mang lại hiệu quả rõ rệt. Lúc này, bọc răng sứ được xem là giải pháp tối ưu giúp che phủ hoàn toàn màu răng cũ, mang lại màu sắc trắng sáng tự nhiên và đồng đều hơn.
Răng sứ hiện đại được thiết kế với độ trong và màu sắc giống răng thật, giúp nụ cười trở nên hài hòa và tự nhiên, đồng thời duy trì được độ bền màu trong thời gian dài nếu được chăm sóc đúng cách.

Hình 2: Răng nhiễm màu
Răng sâu, răng hư tổn lớn
Răng sâu nếu không được điều trị kịp thời có thể gây đau nhức, viêm tủy và mất răng. Trong những trường hợp răng sâu đã được điều trị triệt để nhưng mô răng thật bị mất nhiều, bọc răng sứ là giải pháp giúp phục hồi hình dáng và chức năng của răng.
Mão sứ đóng vai trò như một lớp áo bảo vệ, bao bọc toàn bộ thân răng, giúp răng chịu lực tốt hơn khi ăn nhai và hạn chế nguy cơ tái sâu. Đồng thời, răng sứ cũng giúp cải thiện thẩm mỹ cho những chiếc răng từng bị sâu, đổi màu hoặc sứt mẻ.
Việc bọc răng sứ cho răng sâu cần được thực hiện đúng chỉ định, đảm bảo răng đã được điều trị ổn định trước đó để tránh các biến chứng về sau.
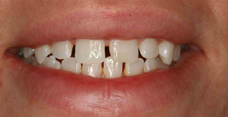
Răng thưa, kẽ hở giữa các răng
Răng thưa là tình trạng có khoảng hở giữa các răng, đặc biệt thường gặp ở vùng răng cửa. Khe hở này không chỉ ảnh hưởng đến thẩm mỹ mà còn khiến thức ăn dễ mắc lại, làm tăng nguy cơ sâu răng và viêm nướu.
Bọc răng sứ giúp thu hẹp khoảng cách giữa các răng, tạo nên hàm răng đều đặn và sát khít hơn. Phương pháp này mang lại hiệu quả thẩm mỹ nhanh chóng, đặc biệt phù hợp với những người có răng thưa mức độ nhẹ đến trung bình.
Trong một số trường hợp, dán sứ veneer cũng có thể được cân nhắc như một giải pháp bảo tồn răng thật tối đa, tùy vào tình trạng răng cụ thể và nhu cầu của khách hàng.

Hình 3: Răng thưa
Lợi ích khi bọc răng sứ đúng chỉ định
Khi được thực hiện đúng kỹ thuật và đúng đối tượng, bọc răng sứ mang lại nhiều lợi ích vượt trội. Không chỉ giúp cải thiện nụ cười, răng sứ còn hỗ trợ ăn nhai tốt hơn, bảo vệ răng thật khỏi các tác nhân gây hại và tăng sự tự tin trong giao tiếp hàng ngày.
Răng sứ hiện nay có độ bền cao, khả năng chịu lực tốt và tuổi thọ có thể kéo dài nhiều năm nếu được chăm sóc đúng cách. Điều quan trọng là khách hàng cần được thăm khám kỹ lưỡng và tư vấn cụ thể trước khi quyết định bọc răng sứ.
Khi nào nên đi khám để được tư vấn bọc răng sứ?
Nếu bạn đang gặp các tình trạng như răng khấp khểnh nhẹ, răng nhiễm màu nặng, răng sâu đã điều trị hoặc răng thưa gây mất thẩm mỹ, việc thăm khám nha khoa sớm sẽ giúp bạn có hướng điều trị phù hợp nhất.
Mỗi hàm răng là một trường hợp riêng biệt, vì vậy không nên tự ý lựa chọn phương pháp mà chưa có sự tư vấn từ bác sĩ chuyên môn. Một kế hoạch điều trị đúng ngay từ đầu sẽ giúp bạn đạt được nụ cười đẹp và bền vững lâu dài.
Kết luận
Bọc răng sứ là giải pháp thẩm mỹ hiệu quả cho nhiều tình trạng răng miệng khác nhau, đặc biệt là răng khấp khểnh nhẹ, răng nhiễm màu, răng sâu và răng thưa. Khi được thực hiện tại nha khoa uy tín với đội ngũ bác sĩ giàu kinh nghiệm, răng sứ không chỉ mang lại vẻ đẹp cho nụ cười mà còn đảm bảo sức khỏe răng miệng lâu dài.
Việc lựa chọn đúng thời điểm và đúng phương pháp sẽ giúp bạn tự tin hơn trong cuộc sống và công việc. Nếu đang băn khoăn về tình trạng răng của mình, hãy chủ động đi khám để được tư vấn và chăm sóc kịp thời.
HỆ THỐNG NHA KHOA QUỐC TẾ DUNMEC DENTAL
📩Website: https://nhakhoadunmecdental.vn/
📩Tiktok: https://www.tiktok.com/@dunmec_hvb
📩Tiktok: https://www.tiktok.com/@dunmec
📩Facebook: https://www.facebook.com/nhakhoadunmecsaigon
📩Facebook: https://www.facebook.com/nhakhoadunmec
-
CS1: 189 Huỳnh Văn Bánh, Q. Phú Nhuận, TP. HCM
-
CS2: 127 – 129 Trần Nhật Duật, TP. Nha Trang
-
CS3: 53 Hồ Tùng Mậu, TP. Vinh, Nghệ An
📞 Hotline: 0588.691.691